NanoClinic — современная стоматологическая клиника на Позняках, где пациенты получают комплексное обслуживание без лишних ожиданий и сложной логистики. Здесь применяются передовые методики диагностики и лечения, комфорт пациента ставится на первый план, а персональный подход учитывает анатомические особенности и пожелания клиента. Среди ключевых возможностей — виниры цена за 1 зуб, которые позволяют добиться естественной эстетики зубов и долговременного эффекта при минимальном вмешательстве в структуру зуба.
На сайте nanoClinic.ua представлена расширенная информация о стоматология на позняках. Это не просто набор кабинетов — это целостная стоматологическая платформа, объединяющая опытных специалистов, современное оборудование и единую концепцию обслуживания. Клиника ориентирована на профилактику и лечение зубочелюстной системы, прозрачность цен, индивидуальный план лечения и цифровые технологии, которые позволяют снизить риск ошибок и ускорить восстановление.
Ключевые направления и компетенции NanoClinic
Команда NanoClinic состоит из сертифицированных стоматологов, ориентированных на длочное сотрудничество с пациентами. В клинике организованы направления:
- профилактика и гигиена полости рта — регулярные осмотры, профессиональная чистка и фторирования;
- лечебная стоматология — терапевтические процедуры при кариесе, пульпите, периодонтите с минимальным травмированием тканей;
- ортопедия — протезирование на керамических винирах, металлопластинках и безметалловых конструкциях;
- имплантология — планирование и установка имплантов с последующим восстановлением:;
- детская стоматология — дружелюбный подход к детям, обучение уходу за зубками и спокойные визиты;
- эстетическая стоматология — отбеливание, виниры, композитные материалы и дизайн улыбки.
Особое внимание в NanoClinic уделено цифровым методикам: цифровой снимок, 3D-моделирование улыбки, CAD/CAM-технологии для точной подгонки коронок и виниров, виртуальные симуляции конечного результата.
Такой подход ускоряет лечение, повышает предсказуемость результатов и помогает пациенту увидеть итог до начала вмешательства.
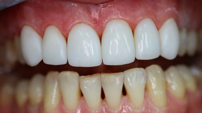
Эстетика зубов: виниры, отбеливание и дизайн улыбки
Эстетическая стоматология в NanoClinic строится на индивидуальном подходе к оттенку, форме и пропорциям зубов. В клинике применяются керамические виниры и композитные решения, которые создают естественный вид зубов и гармонично сочетаются с контуром десны.
Система виртуального дизайна улыбки позволяет врачу заранее продумать форму резцов, клыков и резцов третьей ступени, чтобы итог соответствовал лицевому мимическому ритму пациента. В процессе подбирается материал, учитывается светопропускаемость и толщинные параметры, чтобы результат был максимально естественным. Для тех, кто задаёт вопрос о ценах, доступны варианты с прозрачной ориентировкой и подробной консультацией перед началом лечения.
Детальная информация о стоимости виниров на 1 зуб поможет определить бюджет и выбрать оптимальный маршрут коррекции улыбки.
- Керамизированные виниры — долговечные и эффектные, сохраняют цвет и блеск годами.
- Композитные виниры — более доступный вариант с быстрым результатом, требуют аккуратного отбеливания на этапе подготовки.
- Этапы планирования — диагностика, дизайн улыбки, примерка, фиксация и контроль качества на каждом шаге.
Современные технологии и безопасность в NanoClinic
Ключевые преимущества клиники — это современные аппаратные решения и строгие протоколы безопасности. В NanoClinic применяются:
- цифровая диагностика и 3D-моделирование — точное моделирование будущего результата до начала лечения;
- интраоральные сканеры — безболезненная фиксация отпечатков и ускорение протоколов изготовления протезов;
- многоступенчатые протоколы стерилизации — современные методы дезинфекции, одноразовые расходники и индивидуальные наборы для каждой процедуры;
- комфортные условия посещения — современные кресла, аккуратная эргономика и внимательный персонал.
Безопасность пациентов в NanoClinic достигается благодаря постоянному обучению персонала, контролю качества материалов и соответствию европейским стандартам в области дентальной медицины.
Комбинация стерильности, точности и эстетики позволяет добиваться стабильных и предсказуемых результатов даже в сложных клинических случаях.
Как выбрать NanoClinic на Позняках и что ожидать визита
Чтобы записаться, достаточно воспользоваться онлайн-формой на сайте или позвонить в колл-центр клиники. На первом визите проводится комплексная диагностика, обсуждаются ожидания пациента, предлагаются стадии лечения и расчёт бюджета.
В клинике прозрачна система ценообразования, что позволяет планировать расходы заранее и выбирать оптимальные варианты лечения. При необходимости предоставляются рассрочки или гибкие условия оплаты, чтобы пациенты могли получить необходимую помощь без задержек.
- подготовительная диагностика — осмотр, снятие снимков, план лечения;
- пошаговое лечение — от консервативной терапии до протезирования и имплантации;
- послепроцедурный контроль — мониторинг состояния зубов, профилактические визиты и коррекция плана.
Итак, NanoClinic на Позняках — это не просто кабинет, а целостная стоматологическая платформа, ориентированная на высокую качество обслуживания, прозрачность и удобство для пациентов. Выбирая клинику, вы получаете доступ к современным методам диагностики, персонализированному подходу и эффективным решениям для сохранения здоровья зубов и уверенной улыбки на долгие годы.




1 коментар
Отличная стоматология по всем параметрам: врачи, оборудование и все остальное. Рекомендую!